O que é artrose no quadril ( coxartrose ) ?
Sinais, sintomas, diagnóstico e tratamento
1/28/20263 min read


O que é artrose no quadril (coxartrose) e como identificar os primeiros sinais?
A artrose no quadril, também chamada de coxartrose, osteoartrose ou artrite degenerativa do quadril, é uma doença crônica e progressiva que afeta a articulação coxofemoral (a "junta" entre a cabeça do fêmur e o acetábulo na bacia). Ela é caracterizada pelo desgaste gradual da cartilagem articular — o tecido liso e elástico que cobre as extremidades dos ossos e permite movimentos suaves sem atrito. Com o tempo, essa cartilagem se deteriora, levando ao atrito direto entre os ossos, formação de "bicos de papagaio" (osteófitos) e inflamação na articulação.
No Brasil, estima-se que milhões de pessoas sejam afetadas, especialmente acima dos 50–60 anos, sendo mais comum em mulheres e em quem tem fatores de risco como obesidade ou sedentarismo. É uma das principais causas de dor e limitação de movimentos em articulações de carga, como o quadril.
Tipos de coxartrose
Primária: Ocorre sem causa específica identificável, ligada ao envelhecimento natural e ao desgaste ao longo dos anos.
Secundária: Surge como consequência de outras condições, como displasia do desenvolvimento do quadril (luxação congênita), impacto femoroacetabular, sequelas de doenças da infância (Legg-Calvé-Perthes, epifisiólise), necrose avascular da cabeça femoral, fraturas antigas, artrites inflamatórias (ex.: reumatoide) ou uso prolongado de corticoides.
Principais causas e fatores de risco
O desgaste da cartilagem pode ser acelerado por:
Idade avançada (mais comum após os 50 anos).
Excesso de peso (a obesidade aumenta a carga sobre a articulação).
Sedentarismo ou, ao contrário, atividades de alto impacto repetidas (ex.: esportes intensos sem preparo).
Histórico familiar/genético.
Traumas prévios ou deformidades anatômicas.
Doenças associadas, como diabetes ou osteoporose.
Sintomas: como identificar os primeiros sinais?
O início é geralmente insidioso (lento e gradual), e os sintomas pioram com o tempo. Os mais comuns incluem:
Dor na virilha (região anterior do quadril), que pode irradiar para a face interna da coxa, joelho ou nádega. A dor aumenta ao caminhar, subir escadas, levantar da cadeira ou após ficar sentado por muito tempo. Pode piorar à noite ou com frio.
Rigidez matinal ou após repouso prolongado (dura geralmente menos de 30 minutos).
Limitação de movimentos: dificuldade para girar o quadril (ex.: cruzar as pernas, calçar meias/sapatos), abaixar-se ou entrar/sair do carro.
Claudicação (mancar) progressiva, sensação de "perna encurtada" em estágios avançados.
Estalos ou sensação de "areia" na articulação ao se movimentar.
Fraqueza muscular ao redor do quadril devido ao desuso.
Nos estágios iniciais, a dor pode ser intermitente e aliviada com repouso, mas evolui para dor contínua e incapacitante se não tratada.
Diagnóstico
O diagnóstico é feito por um ortopedista por meio de:
Exame clínico (avaliação de dor, amplitude de movimento e marcha).
Radiografia (exame principal): mostra estreitamento do espaço articular, osteófitos e alterações ósseas. Geralmente, basta a incidência AP da pelve e perfil do quadril.
Em casos duvidosos, ressonância magnética ou tomografia para avaliar cartilagem ou descartar outras patologias.
Tratamento: opções conservadoras e cirúrgicas
O tratamento é individualizado e visa aliviar a dor, melhorar a função e retardar a progressão (não há cura definitiva). Começa sempre pelo conservador:
Mudanças de hábitos: perda de peso (reduz significativamente a carga), evitar atividades de impacto (corrida, saltos).
Medicamentos: analgésicos, anti-inflamatórios (sob orientação médica) para controle da dor e inflamação.
Fisioterapia: exercícios de fortalecimento (músculos glúteos, abdutores), alongamentos, hidroterapia e treino de equilíbrio/marcha. Atividades de baixo impacto como natação, ciclismo estacionário ou Pilates são ideais.
Outros: uso de bengala (para alívio da carga), infiltrações (ácido hialurônico ou corticoides em casos selecionados).
Quando o tratamento conservador não controla os sintomas e a qualidade de vida está muito afetada, pode ser indicada cirurgia:
Procedimentos preservadores (osteotomias ou artroscopia em fases iniciais).
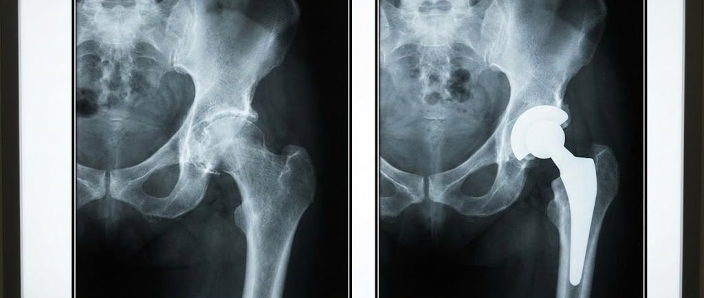
Artroplastia total de quadril (prótese): substitui a articulação danificada por implante, aliviando dor e restaurando mobilidade em casos avançados.
Prevenção e cuidados diários
Embora nem sempre seja possível evitar completamente, você pode retardar o aparecimento ou progressão:
Mantenha peso saudável.
Pratique exercícios regulares de baixo impacto para fortalecer músculos do quadril e melhorar equilíbrio.
Evite sobrecarga repetitiva ou posturas inadequadas.
Cuide da saúde óssea (vitamina D, cálcio quando indicado).
Monitore sintomas precoces e consulte um ortopedista ao primeiro sinal de dor persistente.
Consulte um ortopedista para avaliação individual. Cada caso é único, e o diagnóstico precoce pode fazer grande diferença na qualidade de vida. Se você sente dor no quadril ou rigidez, agende uma consulta para avaliação personalizada. Clínica MJ Especialidades ou Hospital Mário Palmério – Uberaba/MG.


clínica MJ ESPECIALIDADES
(34) 3311-0100
© 2025. All rights reserved.
(34) 99639-1000


